
The Best Summer Drinks for Your Teeth (And the Worst!)
February 16, 2025
As the temperatures rise, so does our craving for refreshing summer drinks. But have you ever considered how these beverages

5 Effective Ways to Maintain Healthy Teeth Even With High Blood Sugar
February 8, 2025
Maintaining optimal oral health is crucial for everyone, but it becomes especially vital for individuals managing diabetes with elevated blood

7 Simple Dental Hygiene Tips to Keep Your Smile Bright in 2025
January 13, 2025
As we step into 2025, it’s the perfect time to refresh and revamp our dental hygiene routines. Good oral health

Understanding the Cost of Root Canal Treatment in Delhi: Factors and Insights
January 13, 2025
Root canal treatment (RCT) is a common dental procedure used to save teeth that are severely decayed or infected. While

Laser Dentistry, The Modern Approach to Dental Care
January 12, 2025
Advancements in dental technology have revolutionized patient care, and Laser dentistry is at the forefront of this transformation. With its

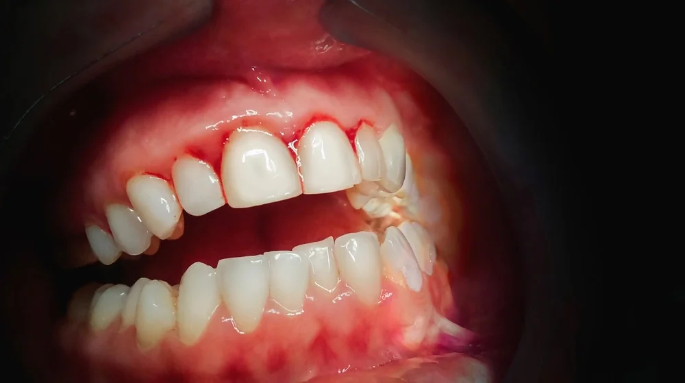
How to Stop Bleeding Gums at Home: Tips from Dr. Nivesh Kakkar
January 12, 2025
Bleeding gums can be alarming, but they are often a sign that your gums need extra care. As a one